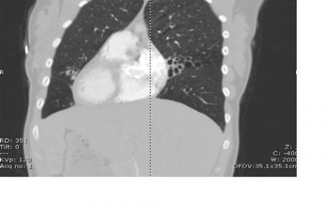
A 69-year-old woman with a history of asbestos exposure presented to the emergency department with a 3-year history of dyspnea on exertion. Physical examination showed signs of volume overload. A chest radiograph showed circumferential calcification of the pericardium and pleural effusions. Simultaneous left and right heart catheterization showed ventricular interdependence and discordance of the pressure tracings (right ventricular pressure, solid arrow; left ventricular pressure, dotted arrow). What is the diagnosis?
一名有石棉接触史的69岁女性因3年的劳力性呼吸困难到急诊科就诊。体格检查示容量超负荷。胸片显示心包环周钙化和胸腔积液。左、右心导管同步检查显示心室压力曲线相互依赖,但不一致(右心室压力,实性箭头;左心室压力,点箭头)。诊断是什么?

A. Cardiac Tamponade 心脏压塞
B. Constrictive Pericarditis 缩窄性心包炎
C. Effusive-Constrictive Pericarditis Effusive-Constrictive心包炎
D. Primary Pericardial Mesothelioma 原发性心包间皮瘤
E. Restrictive Cardiomyopathy 限制性心肌病
答案解析:
正确答案是缩窄性心包炎,这次是由石棉肺引起的。经胸超声心动图显示射血分数保留,舒张早期有间隔反弹,以及肝静脉呼气期舒张期逆转。左、右心导管同时示踪是缩窄性心包炎的特征性表现。吸气时右心室压力最高时,左心室压力最低;这种模式在到期时逆转。一个“平方根”符号(也称为倾角-平台模式;红线)表示舒张早期心室快速充盈,舒张晚期突然停止充盈。
正确答案:B
原创文章(本站视频密码:66668888),作者:xujunzju,如若转载,请注明出处:https://zyicu.cn/?p=17720
微信扫一扫
支付宝扫一扫