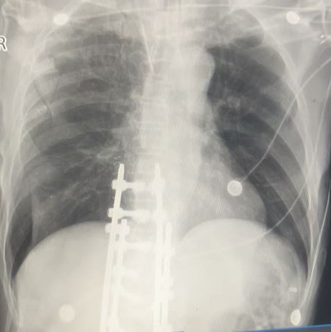
患者男性,常规骨科骨折术后入ICU监护,氧合指数大于300,常规术后床旁胸片检查。

右下肺透亮度增加,是否有气胸?查体右下肺呼吸音基本和左侧一致,超声有胸膜滑动征;

因此继续观察并早上复查胸片。

更像气胸了,氧合状态仍正常,气胸怀疑因此复查肺部CT。

排除气胸,和放射科医生沟通觉得也很像气胸,只能怀疑伪影。
你觉得可能是什么原因造成类似气胸的表现的?
原创文章(本站视频密码:66668888),作者:xujunzju,如若转载,请注明出处:https://zyicu.cn/?p=20916
患者男性,常规骨科骨折术后入ICU监护,氧合指数大于300,常规术后床旁胸片检查。

右下肺透亮度增加,是否有气胸?查体右下肺呼吸音基本和左侧一致,超声有胸膜滑动征;

因此继续观察并早上复查胸片。

更像气胸了,氧合状态仍正常,气胸怀疑因此复查肺部CT。

排除气胸,和放射科医生沟通觉得也很像气胸,只能怀疑伪影。
你觉得可能是什么原因造成类似气胸的表现的?
原创文章(本站视频密码:66668888),作者:xujunzju,如若转载,请注明出处:https://zyicu.cn/?p=20916
微信扫一扫
支付宝扫一扫