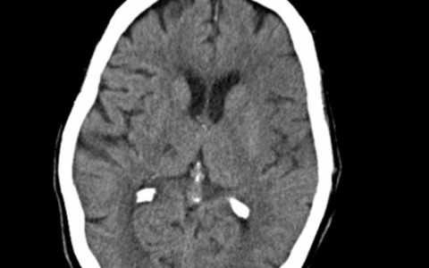
A 34-year-old woman with a medical history significant for tobacco(烟草) and cocaine(可卡因) abuse is brought to the emergency department (ED) by a family member after a witnessed seizure. She is currently unarousable. Vital signs are: blood pressure 198/100 mm Hg, heart rate 62 beats/min, respiratory rate 8 breaths/min. Glasgow Coma Scale score is 6. She is immediately intubated and elicits bilateral extensor motor responses with bilateral dilated pupils at 5 mm. The ED physician decides to mechanically ventilate to hyperventilate her, and administers a dose of IV mannitol 25%. CT is shown below.

Besides controlling her blood pressure, which of the following therapies is most appropriate?
A. IV tissue plasminogen activator
B. Phosphenytoin bolus
C. Dexamethasone bolus
D. Placement of an external ventricular drain
该患者患有急性梗阻性脑积水伴累及第四脑室的脑室内出血,可能与可卡因滥用有关。她将受益于通过脑室外引流进行的紧急脑脊液引流。在脑出血的回顾性观察性研究中研究了抗癫痫药物的作用,在这种情况下可能无法挽救她的生命。最后,类固醇和IV组织型纤溶酶原激活剂在继发于脑内出血或脑室内出血的急性脑积水的治疗中没有作用。
References:
- Hemphill JC 3rd, Greenberg SM, Anderson CS, et al; American Heart Association Stroke Council; Council on Cardiovascular and Stroke Nursing; Council on Clinical Cardiology. Guidelines for the management of spontaneous intracerebral hemorrhage: a guideline for healthcare professionals from the American Heart Association/American Stroke Association. Stroke. 2015 Jul;46(7):2032-2060.
- Liliang PC, Liang CL, Lu CH, et al. Hypertensive caudate hemorrhage prognostic predictor, outcome, and role of external ventricular drainage. Stroke. 2001 May;32(5):1195-1200.
- Rincon F, Mayer SA. (2008). Clinical review: critical care management of spontaneous intracerebral hemorrhage. Critical Care. 2008;12(6):237.
D
原创文章(本站视频密码:66668888),作者:xujunzju,如若转载,请注明出处:https://zyicu.cn/?p=8975
微信扫一扫
支付宝扫一扫