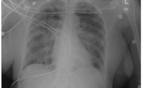
A 22-year-old woman is evaluated in the emergency department (ED) for fever, pleuritic chest pain, dyspnea, and hypotension. She was in her usual state of good health until four days ago when she developed a sore throat, nausea, and myalgia. Physical examination is remarkable for an injected pharynx without any neck tenderness or swelling. Chest radiograph reveals bilateral patchy and irregular parenchymal opacities. She is diagnosed with pneumonia and admitted to the ICU where blood cultures are obtained. Empiric treatment with piperacillin/tazobactam and azithromycin is initiated, and she is resuscitated with IV fluids. Chest CT demonstrates right-sided pleural effusion and multiple cavitary and nodular opacities consistent with septic emboli. The next day, her blood cultures grow Fusobacterium necrophorum, and antibiotic therapy is narrowed down to piperacillin/tazobactam.
Which of the following diagnostic tests is most appropriate for this patient?
A. Transthoracic echocardiogram
B. Transesophageal echocardiogram
C. Carotid ultrasound
D. Neck CT
答案解析:
Lemierre综合征是颈内静脉(IJV)脓毒性血栓性静脉炎的一种潜在致死形式,经常影响年轻、免疫功能正常的人群。它曾经是罕见的,但在过去20年中其发病率的增加归因于抗生素耐药性和抗生素处方模式的变化。通常从腭扁桃体或扁桃体周围组织开始,扩散到含IJV的咽侧间隙,引起脓毒性血栓性静脉炎,随后通常发生远端脓毒性栓塞,导致多器官受累,肺是最常受累的部位。其他常见受累部位为关节、肌肉、软组织、脑膜、脾脏和肝脏。Lemierre综合征通常由坏死梭杆菌引起,尽管已有多种细菌作为致病微生物的报道。
最初的临床表现可以是细微的;有时持续发热是唯一突出的症状。在获得微生物学数据之前,通常不会怀疑该综合征;因此,需要高度的临床怀疑才能及时诊断。体格检查可发现渗出性扁桃体炎或较轻形式的咽炎;然而,这些口咽体征可能不明显,因为脓毒性血栓性静脉炎或转移并发症通常发生在原发感染后1-3周。IJV血栓性静脉炎的典型体征是沿胸锁乳突肌的疼痛和肿胀,但这些仅见于大约一半的受累患者。
根据颈内静脉存在血栓和血培养阳性诊断Lemierre综合征。增强颈部CT是显示血栓的首选诊断方法。多普勒超声是一种替代方法,侵入性较小,但敏感性也较低,尤其是位于锁骨和下颌骨深部的血栓,并且可能遗漏低回声的新形成血栓。长期使用覆盖坏死梭菌和口腔链球菌的IV抗生素是治疗的基石。已报告了坏死梭菌产β-内酰胺酶菌株;因此,不建议单独使用β-内酰胺。抗凝的作用尚不清楚,但除非有血栓扩大的证据,否则一般不适用。在尽管接受了充分的抗生素治疗但败血症或脓毒性栓子仍未得到控制的情况下,可能需要手术结扎或切除颈内静脉。
正确答案:D
补充内容:Lemierre综合征
一、概述
Lemierre综合征是指颈内静脉的脓毒性血栓性静脉炎。该病通常首先表现为口咽感染,常出现静脉壁炎症、静脉管腔内感染性血栓、周围软组织炎症、持续性菌血症和脓毒性栓子。Lemierre综合征又称咽峡后脓毒症和坏死杆菌病。
二、流行病学
Lemierre综合征是一种罕见疾病,最常发生于平素体健的年轻成人。一项丹麦研究根据1998-2001年的数据发现,14-24岁人群的年发病率为14.4例/100万人,人群总体发病率为3.6例/100万人。部分研究提示,Lemierre综合征可能好发于男性。
三、发病机制
在大多数Lemierre综合征患者中,原发感染是累及腭扁桃体或扁桃体周围组织的咽炎。不太常见的原发感染源包括牙源性感染、乳突炎、中耳炎、鼻窦炎和腮腺炎。原发感染后间隔1-3周,会发生咽部间隙和颈内静脉的局部侵袭,引起脓毒性血栓性静脉炎。
四、临床表现
Lemierre综合征发病前常有咽炎,通常伴有扁桃体或扁桃体周围受累。其他前驱疾病包括乳突炎、中耳炎、牙感染、咽部脓肿或传染性单核细胞增多症。前驱感染到发生颈内静脉血栓性静脉炎的间隔时间一般为1-3周。临床表现可能包括发热(>39℃)、寒战、渗出性扁桃体炎、咽痛、吞咽困难、张口困难、单侧颈痛和压痛。呼吸系统症状(反映并发的脓毒性肺栓子)可能包括呼吸困难、胸膜炎和/或咯血;口咽体格检查可能发现扁桃体渗出、充血、溃疡或正常;当脓毒性血栓性静脉炎或转移性并发症发生时,明显的表现可能已经消失。仔细的颈部体格检查很重要,因为颈部肿胀可能被误认为是颈部淋巴结,而不是颈内静脉血栓形成。但形成血栓的颈内静脉很少能够触及,而且可能没有局部体征。

五、并发症
肺部并发症很常见。肺部病变通常表现为脓毒性肺栓子引起的坏死空洞性病变。大关节是脓毒性栓塞累及的第二常见部位,仅次于肺部。26%的患者有关节受累(最常累及膝关节和髋关节)。中枢神经系统受累已有报道,但不常见。报道的中枢神经系统并发症包括脑膜炎、脑脓肿、硬膜下积脓、硬膜外脓肿、脓毒性栓子和脑梗死。脑静脉血栓形成也有报道,据推测是由颈内静脉血栓的逆行延伸所致。

六、诊断
如果影像学检查显示颈内静脉血栓,并且培养显示坏死梭杆菌或其他相关病原体,则可确诊Lemierre综合征。咽部、血液或转移性感染部位可能分离出病原体。如果不能同时满足以上标准,或只有明确的影像学表现,或只有明确的培养结果,则可做出推定诊断。 颈部和胸部的CT增强扫描可评估颈内静脉有无充盈缺损或血栓,还可帮助评估有无肺部受累。颈部超声检查也可检测颈内静脉血栓,它可显示扩张的颈内静脉中的强回声区域,或囊性和实性成分组成的复杂肿块。
七、治疗
治疗原则包括恰当的抗生素治疗,以及评估是否需要手术干预和抗凝治疗。
(1)经验性治疗:对于经典的Lemierre综合征(口咽来源的颈静脉化脓性血栓性静脉炎),经验性抗生素治疗应针对坏死梭杆菌和口腔链球菌。通常不会经验性给予氨苄西林-舒巴坦,因其耐药率高于哌拉西林-三唑巴坦和碳青霉烯类。如果患者血流动力学不稳定或有提示重症的其他征象,或者存在MRSA感染的危险因素,则应加用万古霉素以经验性覆盖MRSA。如果已知或疑似中枢神经系统受累,应使用容易透过血脑屏障的广谱抗生素方案,例如万古霉素、头孢曲松和甲硝唑。抗生素疗程应视临床情况而定。通常给予至少4周的抗生素疗程,包括至少2周的静脉用抗生素。如果出现肺脓肿、化脓性关节炎等并发症,应针对性调整抗生素疗程。
(2)抗凝治疗:尚不确定抗凝治疗能否减少颈内静脉血栓形成导致的血栓延伸或脓毒性栓塞事件。通常建议对多数患者不使用抗凝。如果经过5-7日的恰当抗生素治疗(并酌情引流化脓性积液),仍有血栓延伸或者持续性发热或菌血症,则应采用抗凝治疗以防血栓逆行延伸进入海绵窦等。尚不明确抗凝治疗的最佳疗程。
(3)介入治疗:是否需行介入治疗取决于临床情况。患者使用恰当的抗生素和抗凝治疗后,仍有未控制的脓毒症或持续性脓毒性栓子时,已有颈内静脉结扎或切除的报道。此类方法应视为最后的手段。
总结:Lemierre综合征是指颈内静脉(IJV)的脓毒性血栓性静脉炎。表现通常为口咽感染,常出现静脉壁炎症、静脉管腔内感染性血栓、周围软组织炎症、持续性菌血症和脓毒性栓子。Lemierre综合征通常由口咽菌群导致,最常见的病原体是厌氧的坏死梭杆菌。金黄色葡萄球菌导致的罕见病例也有报道。经验性抗生素治疗预后良好。
原创文章(本站视频密码:66668888),作者:xujunzju,如若转载,请注明出处:https://zyicu.cn/?p=11358
微信扫一扫
支付宝扫一扫