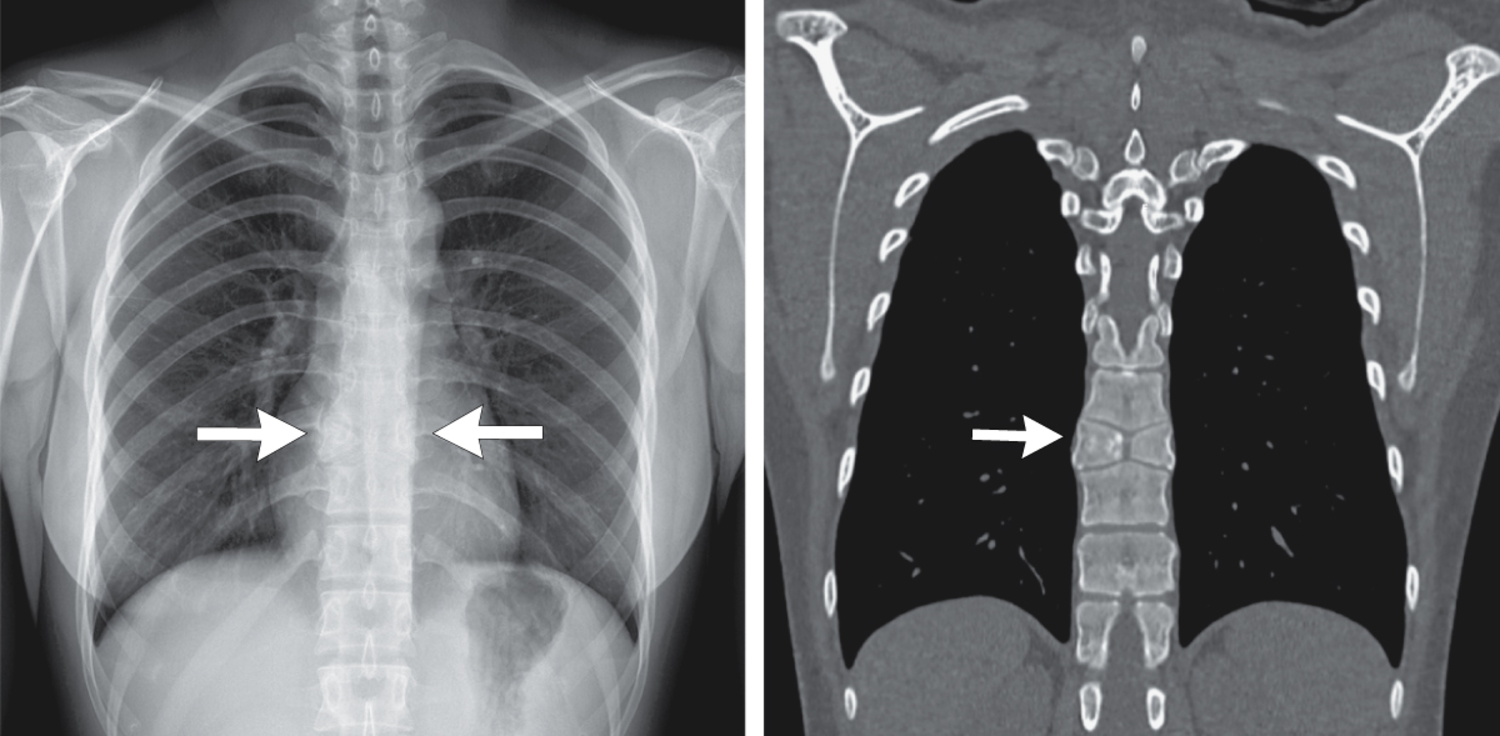
A 21-year-old woman who had presented to the pulmonary clinic with a 7-day history of sore throat and cough was noted to have a vertebral abnormality on chest radiograph. She reported no history of back pain. Computed tomography of the chest is shown. What is the most likely underlying etiology?
一位21岁女性因咽喉痛和咳嗽7天到肺科门诊就诊,胸部X线检查发现脊柱异常。患者自述无背痛病史。胸部的计算机断层扫描(CT)如图所示。最可能的潜在病因是什么?

A. Congenital abnormality先天性异常
B. Decreased bone mineralization骨矿化减少
C. Increased bone turnover骨转换增加
D. Malignancy恶性肿瘤
E. Prior trauma既往外伤
答案解析:
诊断为蝴蝶椎。蝴蝶椎是一种罕见的先天性畸形,是由于胚胎发育过程中两侧椎体骨化中心未能融合所致。它通常无症状,是在影像学检查中偶然发现的。蝴蝶椎可能单独存在,也可能与其他先天性畸形相关。医生向患者解释了这一脊椎异常的良性本质,给予了相应的安抚。
正确答案:A
原创文章(本站视频密码:66668888),作者:xujunzju,如若转载,请注明出处:https://zyicu.cn/?p=20873
微信扫一扫
支付宝扫一扫