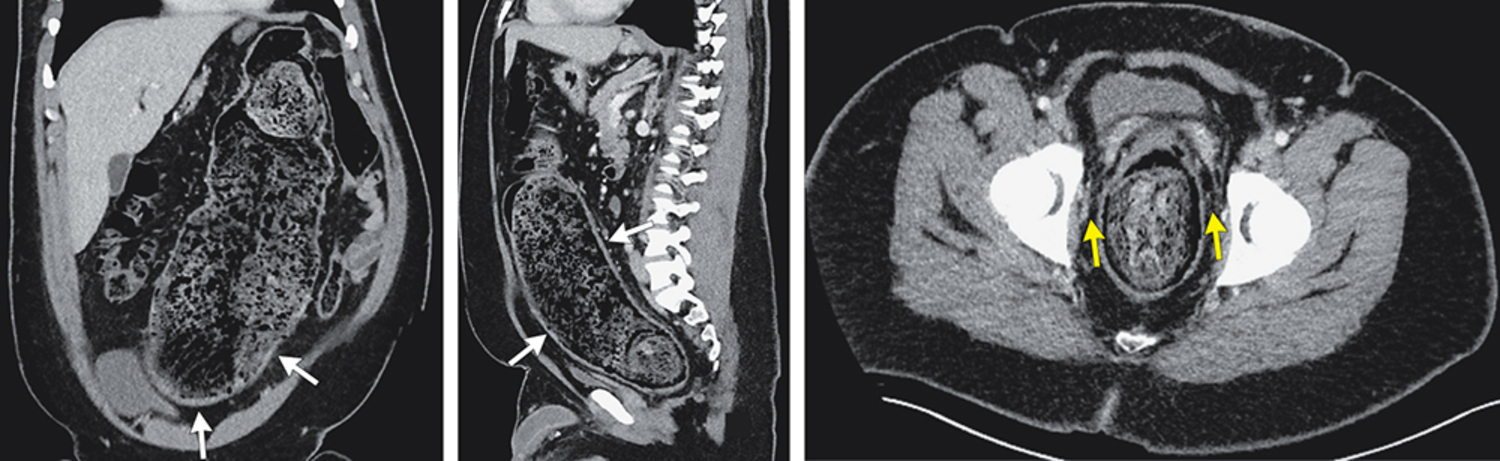
A 23-year-old man with autism spectrum disorder and chronic constipation presented to the emergency department with a 1-week history of abdominal pain on his left side, nausea, and vomiting. Physical examination was notable for abdominal distention and mild tenderness to palpation on the left side of the abdomen. Computed tomography of the abdomen and pelvis is shown. What is the most likely diagnosis?
一名23岁男性,患有自闭症谱系障碍和慢性便秘,因左侧腹痛、恶心及呕吐一周前来急诊就诊。体格检查发现腹部膨隆,左下腹轻压痛。腹部和盆腔的计算机断层扫描(CT)如图所示。最可能的诊断是什么?

A. Hirschsprung’s disease先天性巨结肠
B. Simple fecal impaction单纯性粪便嵌塞
C. Stercoral colitis粪石性结肠炎
D. Toxic megacolon中毒性巨结肠
E. Ulcerative colitis溃疡性结肠炎
答案解析:
CT 扫描显示结肠因大量粪便积聚而扩张,伴有肠壁增厚以及直肠周围脂肪组织条纹状模糊(perirectal fat stranding)。最终诊断为粪石性结肠炎(Stercoral colitis)。
在粪石性结肠炎中,长期滞留的硬便导致结肠扩张,从而引发炎症反应。在某些情况下,粪块(fecaloma)可能造成局部压力性坏死甚至穿孔。治疗包括积极调整肠道功能(如使用缓泻剂等),在部分病例中,还可能需要手动清除粪块(fecal disimpaction)。
正确答案:C
原创文章(本站视频密码:66668888),作者:xujunzju,如若转载,请注明出处:https://zyicu.cn/?p=20876
微信扫一扫
支付宝扫一扫