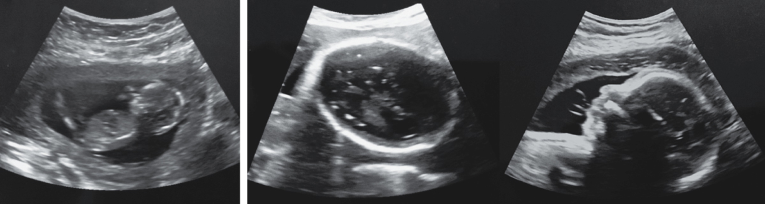
A 6-month-old baby boy was referred to a pediatric neurology clinic in Brazil for evaluation of developmental delay. At the beginning of the second trimester, the baby’s mother had had a rash. At birth, the baby had microcephaly. He subsequently developed severe developmental delay and epilepsy. Prenatal ultrasonography at 12 weeks’ gestation and at 29 weeks’ gestation are shown. What is the underlying etiology?
一名6个月大的男婴因发育迟缓被转诊至巴西的一家儿童神经科门诊进行评估。在怀孕第二孕期初期,婴儿的母亲曾出现过皮疹。婴儿出生时患有小头畸形。随后,他出现了严重的发育迟缓和癫痫。妊娠12周和29周的产前超声检查如图所示。其根本病因是什么?

A. Congenital cytomegalovirus先天性巨细胞病毒感染
B. Congenital toxoplasmosis先天性弓形虫病
C. Congenital Zika syndrome先天性寨卡综合征
D. Inborn error of metabolism先天性代谢缺陷
E. In utero toxin exposure宫内毒素暴露
答案解析:
诊断为可能的先天性寨卡综合征。该婴儿的母亲在2015-2016年寨卡病毒流行期间怀孕时,寨卡病毒检测呈阳性。婴儿出生时,血清IgM检测寨卡病毒亦为阳性。建议进行物理治疗、作业治疗和语言治疗。
正确答案:C
原创文章(本站视频密码:66668888),作者:xujunzju,如若转载,请注明出处:https://zyicu.cn/?p=21378
微信扫一扫
支付宝扫一扫