未分类
-
每日一题_2026.02.27
A 47-year-old woman presented to the dermatology clinic with a 1-year history of a crawlin…
-
Chest:非HIV相关耶氏肺孢子菌肺炎中辅助性糖皮质激素的使用与临床结局
Abstract Background: Adjunctive corticosteroids improve outcomes in HIV-associated Pn…
-
每日一题_2025.01.30
A 29-year-old man with well-controlled human immunodeficiency virus infection presented wi…
-
赛出风采—2023年余杭ICU师资授课比赛
为更好落实2023年国际护士节主题“我们的护士,我们的未来”,也为提升监护室护理队伍的教学能力,营造学习氛围,发现人才,挖掘潜力,以赛促学,以赛促教,我科举行了“2023年余杭IC…
-
每日一题_2023.08.30
A 27-year-old man presents to his dermatologist with several red, tender nodules on his lo…
-
每日一题_2023.08.29
A 43-year-old man who is HIV positive presents to emergency department complaining of visi…
-
每日一题_2023.07.01
A 27-year-old woman presents to her physician complaining of fever, chills, and flu-like s…
-
每日一题_2023.03.27
A 64-year-old man with a history of hypertension, coronary artery disease, and type 2 diab…
-
每日一题_2023.01.09
A 46-year-old woman presents to the emergency department because of a one-week history of …
-
每日一题_2022.12.10
A 57-year-old woman is scheduled for elective hysterectomy. Severing which of the followin…
-
每日一题_2022.11.06
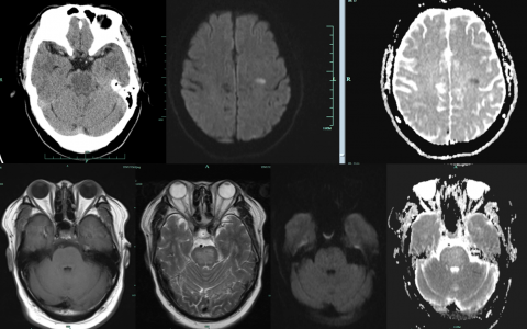
A 5-year-old boy from China with a history of IgA vasculitis at 2 years of age presented w…
-
每日一题_2022.09.22
A 50-year-old man with no significant past medical history is status post Hartmann procedu…
-
每日一题_2022.09.12
A 50-year-old man is brought to the emergency department encephalopathic, with a Glasgow C…
-
每日一题_2022.08.30
A 21-year-old woman with a long history of recreational drug abuse is admitted to the ICU …
-
每日一题_2022.08.14
In which of the following patients would use of a conventional pulse contour monitoring de…
-
每日一题_2022.06.16
A 3-year-old girl was brought to the emergency department with a 2-month history of a whit…
-
每日一题_2022.5.9
An 18-year-old man is transferred from an outside facility for management of a pneumothora…
-
每日一题_2022.4.21
A 50-year-old woman with a history of hypertension treated with lisino…
-
每日一题_2022.4.17
A notice from the Department of Public Health and Homeland Security states that someone ha…