Yearly Archives: 2024
-
AI大语言模型网站——KIMI
月之暗面科技有限公司(Moonshot AI)是一家专注于通用人工智能领域的公司,致力于将能源转化为智能,通过产品与用户共创智能,实现普惠AI。公司成立于2023年3月1日,其产品…
-
每日一题_2024.05.04
A 62-year-old man presented to the hospital with a 1-month history of muscle aches and wea…
-
浙大一院呼吸治疗科进修招生简章_更新至2026 年 3 月 3 日
科室简介 浙大一院重症医学科是国内最早(1985年)成立、全省规模最大、综合实力最强的重症医学科之一,是首批国家临床重点专科(2010年),全省最高分获得重症医学疑难病症诊治提升工…
-
95版《神雕侠侣》的幕后拍摄花絮
当年不知道看过多少遍,现在依然觉得是好看的;李若彤饰演的小龙女美出圈了!
-
PyComplexHeatmap,一个炫酷的Python可视化库
今天给大家介绍一个非常好用的Python数据可视化包:PyComplexHeatmap,对于用Python做机器学习、统计、科学研究和数据分析的朋友来说,这是一个非常有帮助的可视化…
-
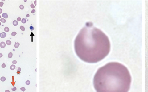
每日一题_2024.04.27
A 63-year-old woman who had presented to the ophthalmology clinic for evaluation of catara…
-
EACTS/STS指南:EACTS/STS Guidelines for diagnosing and treating acute and chronic syndromes of the aortic organ
该指南同时发表在《欧洲心胸外科杂志》(Journal of Cardio-Thoracic Surgery)和《胸外科年鉴》(Annals of Thoracic Surgery)…
-
潮式呼吸
潮式呼吸(Cheyne-Stokes respiration)又称陈-施呼吸,特点是呼吸逐步减弱以至停止和呼吸逐渐增强两者交替出现,周而复始,呼吸呈潮水涨落样。多见于中枢神经疾病、…
-
碳青霉烯类耐药革兰阴性菌感染的诊断治疗及防控指南(2024)
摘要 :碳青霉烯类耐药革兰阴性菌(CRGNB)的广泛播散是一个全球性的公共卫生问题。CRGNB 临床分离株通常呈现广 泛耐药或全耐药,对其感染的抗菌治疗方案有限、死亡率高。由感染病…
-
每日一题_2024.04.18
A 57-year-old woman presented to the emergency department with a 3-day history of shortnes…
-
经典影像-弥漫性肺泡出血_20240415
反复发热半月,突出的表现:血小板迅速下降至个位数,肝肾功能不全进展迅速,胆红素增高直胆为主,咯血,呼吸衰竭。患者职业养鱼,近半月来使用菌毒净清洁鱼塘。 血NGS结果:钩端螺旋体感染…
-
高甘油三酯血症性急性胰腺炎诊治急诊专家共识
急性胰腺炎(acute pancreatitis,AP)是临床常见消化系统急症,可累及全身器官、系统并进展为病情凶险、病死率高的重症急性胰腺炎(severe acute pancr…