患者,男性,59岁,(儿子代诉)患者2月前无明显诱因下出现头晕、烦躁、闷闷不乐,当时未予重视未就诊,1月前患者自行戒酒,感头晕加重,至当地医院就诊,查:2025-10-2超声经颅多普勒:双侧大脑中动脉、前动脉、后动脉、双侧椎动脉-基底动脉血流及频谱形态正常;血常规:白细胞6.6,血红蛋白139,血小板295,头颅CT:未见明显异常,双侧上颌实炎症,肺部CT:两肺多发结节,支气管改变,肺气肿。予倍他司汀止晕治疗,用药后无缓解,10.27至某市人民医院就诊,查:头颅:空泡蝶鞍。11.1起患者出现记忆力减退(不记得当日上午就医、银行卡密码等),反应迟钝,11.4起患者偶出现站立不稳,间歇性双手硬呈“鸡爪”样,伴睡眠期间抽动,遂于11.5至上海医院精神科就诊,否认抑郁情绪,否认自杀倾向,当地医院考虑“酒精性脑病”予氟伏沙明片治疗,症状无缓解。后于11.11至我院门诊就诊,考虑“慢性酒精中毒 酒精戒断综合征”,予喹硫平治疗。10小时前无明显诱因下自行从2楼(约4-5m高)处跳下,坠落在雨棚上,后从雨棚上滑至地面。患者当时无意识丧失,呻吟,发抖,可对答,反应稍迟钝,询问其姓名可回答出,无四肢抽搐,无大小便失禁等不适。送我院急诊拟“外伤”留抢,后收入ICU进一步治疗。
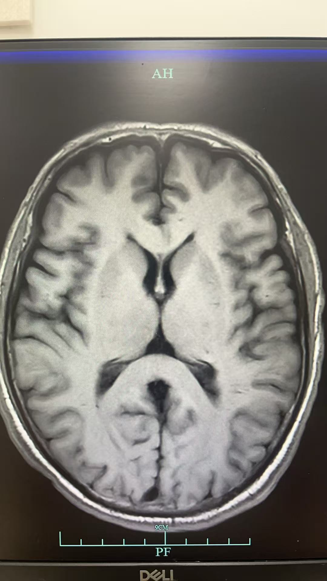
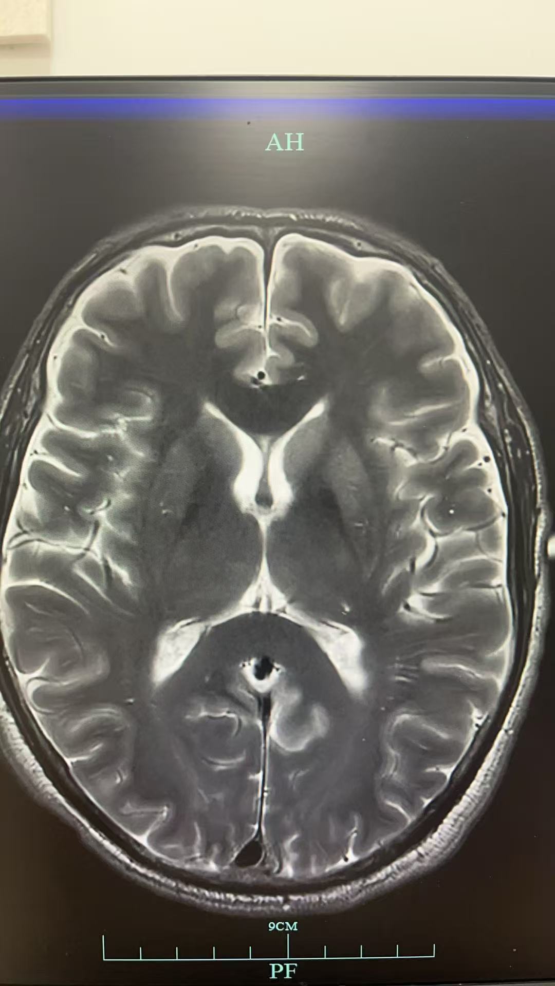
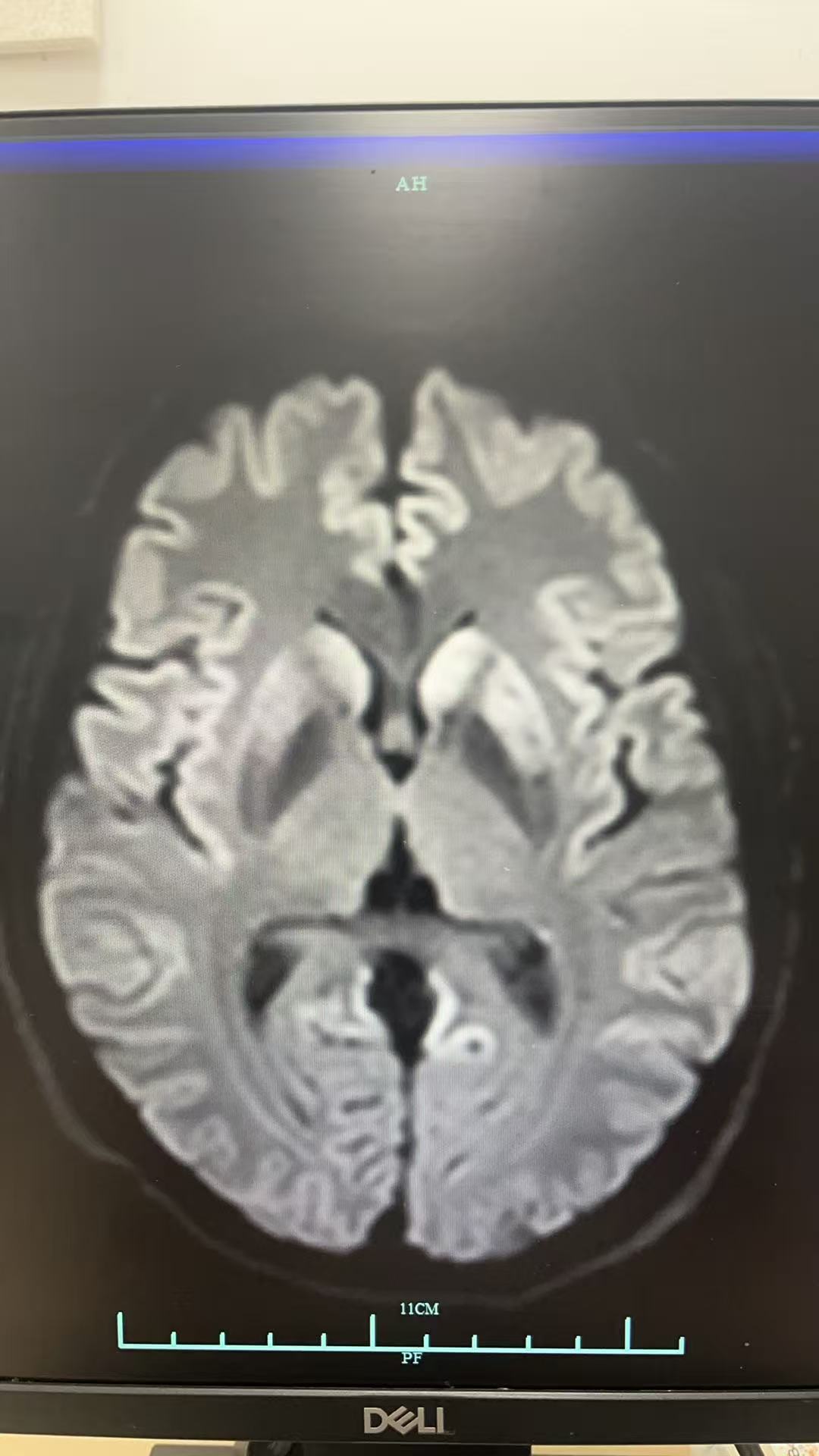
入ICU后因意识情况变差加重,给予气管插管有创机械通气治疗,后完善腰穿,压力正常范围,细胞数目无,并行脑脊液NGS检查,结果全阴;完善脑脊液自免脑抗体检查,结果仍旧为阴性。期间做头颅MRI检查提示:两侧大脑半球硬脑膜增厚强化,请结合临床。右侧额及两侧沈叶可疑部分柔脑膜强化,请结合临床。



神经内科梁主任会诊后认为:患者二月前出现头晕,症状加重,一月前出现精神症状当地头颅MRI示左侧尾状核和枕叶DWI高信号,本院复诊尚可见硬脑膜强化意见,建议床边脑电图,复查腰穿查脑脊液RTQUICE排除克雅氏病可能。查血LGI1抗体,继续甲强龙治疗。随后送的LGI1抗体结果阴性,而脑脊液的RT-QuIC结果为阳性,因此诊断为克雅病。

随后完善了脑电图检查,也符合周期性尖慢复合波。
可以参考指南克-雅病中国诊断指南2021
本案例的突破点在于病史+脑MRI检查结果,对比指南可以看到我们的MRI在尾状核那边也有明显强化的表现。

原创文章(本站视频密码:66668888),作者:xujunzju,如若转载,请注明出处:https://zyicu.cn/?p=21350
微信扫一扫
支付宝扫一扫