每日一题_2022.09.11

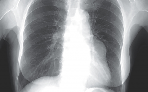
A 60-year-old man was admitted to the oncology floor for a urinary tract infection associated with mild confusion. His medical history is significant for metastatic non- small cell lung cancer, status post chemo- and radiation therapy, hypertension, and a deep venous thrombosis, for which he takes enoxaparin. Throughout the night, he is noted to have more shortness of breath and new-onset hypotension, and is urgently transferred to the ICU, where his vital signs are: temperature 38°C (100.4°F), heart rate 140 beats/min, respiratory rate 35 breaths/min, blood pressure 70/50 mm Hg, oxygen saturation 99% on a nonrebreather mask. Physical examination is notable for equal and reactive pupils, distended neck veins with supple neck, clear lungs, distant heart sounds, soft abdomen, cool extremities without edema, and confusion. Chest radiograph shows clear lungs and cardiomegaly. ECG shows sinus tachycardia with low voltage. Laboratory results are pending.

Which of the following is the most appropriate next step in management?

A. Intubate, then administer 2 L IV crystalloid fluid bolus and broad-spectrum antibiotics, and obtain pan-cultures.

B. Initiate crystalloid resuscitation while performing bedside cardiac ultrasound.

C. Initiate bilevel positive airway pressure; IV morphine, 2 mg, for dyspnea; IV furosemide, 40 mg; and consult cardiology for new-onset congestive heart failure.

D. Initiate massive blood transfusion protocol and give protamine for enoxaparin reversal.

E. Give IV tissue plasminogen activator for massive pulmonary embolism.

答案解析:

该患者有恶性心包积液,导致生理性填塞和阻塞性休克。首次检查他时,最谨慎的做法是进行快速超声评估以进行休克和低血压 (RUSH) 检查,并在看到积液后提供静脉推注。届时,需要根据他的临床状况决定在床边或导管室引流积液。用于急性呼吸困难和休克的床边超声检查是重症医师的重要工具。这将有助于迅速缩小鉴别诊断范围并改进决策。

最终可能需要对患者进行插管,但考虑到他的精神状态、充足的氧合和严重的低血压,这可能不是首先要采取的措施。感染性休克肯定仍然存在于鉴别诊断中,即使超声检查发现填塞物,仍建议提供抗生素和获取培养物。根据病史和检查,这种表现不太可能是急性心力衰竭或肺栓塞,床边心脏超声也将有助于证明这一点。严重的腹膜后出血可能是他低血压的原因,但病史和检查与此相对不一致,鱼精蛋白不是依诺肝素的纯逆转剂,但可能有帮助。

正确答案:B

原创文章(本站视频密码:66668888),作者:xujunzju,如若转载,请注明出处:https://zyicu.cn/?p=14123

Like (0)
Donate 微信扫一扫 微信扫一扫 支付宝扫一扫 支付宝扫一扫
xujunzju的头像xujunzju管理者
每日一题_2022.09.10
Previous 2022年9月10日 07:16
每日一题_2022.09.12
Next 2022年9月12日 06:59

发表回复

Please Login to Comment
联系我们
邮箱:
xujunzju@gmail.com
公众号:
xujunzju6174
捐赠本站
捐赠本站
SHARE
TOP