Yearly Archives: 2024
-
R语言倾向性评分:加权
倾向性评分加权,主要介绍两种加权方法:逆概率加权(inverse probability weighting, IPW)和重叠加权(overlap weighting)。倾向性评分…
-
每日一题_2024.07.11
A 26-year-old man presented to the ophthalmology clinic with a 2-month history of a painle…
-
CCM:白蛋白与平衡晶体对脓毒症早期复苏:一项开放平行组随机可行性试验
OBJECTIVES: International guidelines recommend IV crystalloid as the primary fluid for sep…
-
每日一题_20240704
A 29-year-old man presented to the outpatient clinic with 2 months of bright red blood fro…
-
CC:ICU中患有脓毒症或脓毒性休克患者性别在SOFA评分上的差异:一项全国性分析
Sex differences in the SOFA score of ICU patients with sepsis or septic shock: a nationwid…
-
ICM:危重病人导管尖端阳性培养无血流感染的治疗:来自OUTCOMEREA网络的病例队列研究
Abstract Purpose: This study aimed to evaluate the impact on subsequent infections and mor…
-
CCM:2010-2019年城乡icu住院患者特征分析
OBJECTIVES: Rural hospitals are threatened by workforce shortages and financial strain. To…
-
CCM:严重发热伴血小板减少综合征患者心肌损伤相关生物标志物(肌钙蛋白I)水平升高与死亡率增加的相关性研究
OBJECTIVES: The objective of this study was to investigate the dynamic profiles of myocard…
-
每日一题_2024.06.28
A 67-year-old woman with a history of chronic rhinosinusitis presented to the emergency de…
-
药理学:阿托品
阿托品试验 阿托品试验是一种用于评估窦房结功能的医学检查,主要用于鉴别病态窦房结综合征(Sick Sinus Syndrome, SSS)。这种试验通过使用阿托品来解除迷走神经对心…
-
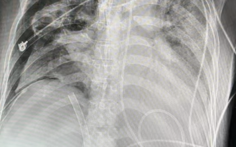
VA-ECMO静脉管路的头端误入肝静脉
VV-ECMO患者,引流管进入肝静脉中,超声定位下明确并重新调整进入心房内。 既往文献中:Hepatic vein cannulation duringveno-arterial …
-
限制性立方样条图:适用于线性回归、logistic回归、cox回归
官网教程:https://github.com/KunHuo/plotRCS,安装指令: 线性回归模型的 RCS 曲线 逻辑回归模型的 RCS 曲线 Cox 回归模型的 RCS 曲…
-
通过监护仪动脉波形判断容量缺
舒张期短了搏出少→frank-starling曲线上升支→补液(500)以后 再来500ml以后 认为有效。第二天正平衡后的监护仪:
-
俯卧位对肺实变的影响
俯卧位前后对比 使用EIT来查看 经验:俯卧位使用呼吸机时候,提供一定的PEEP和驱动压,不要快速下降,等待肺完全张开后调整压力。不要只关注二氧化碳分压的水平。
-
春庭雪-2024普京就职典礼
确实很搭!
-
ICM:头部计算机断层扫描的标准化自动评估可可靠预测心脏骤停后的不良功能预后:一项前瞻性多中心研究
Abstract Purpose: Application of standardised and automated assessments of head compu…
-
CC:机械循环支持在心源性休克的重症监护中的应用:微轴流泵适用于所有情况,而体外膜肺氧合(VA-ECMO)被送入博物馆?
心源性休克的死亡率仍然很高,特别是在SCAI休克阶段C至E的患者中[1]。当血液动力学状态没有改善或恶化,尽管给予了最佳的液体、正性肌力药和血管活性药物,机械循环支持(MCS)通常…
-
每日一题_2024.06.21
A 78-year-old man presented to primary care clinic with a 5-day history of constipation an…